症例
症例
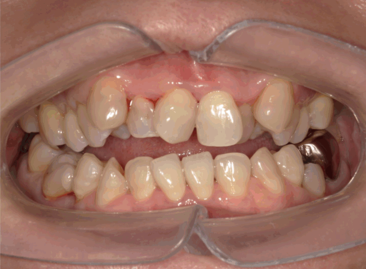
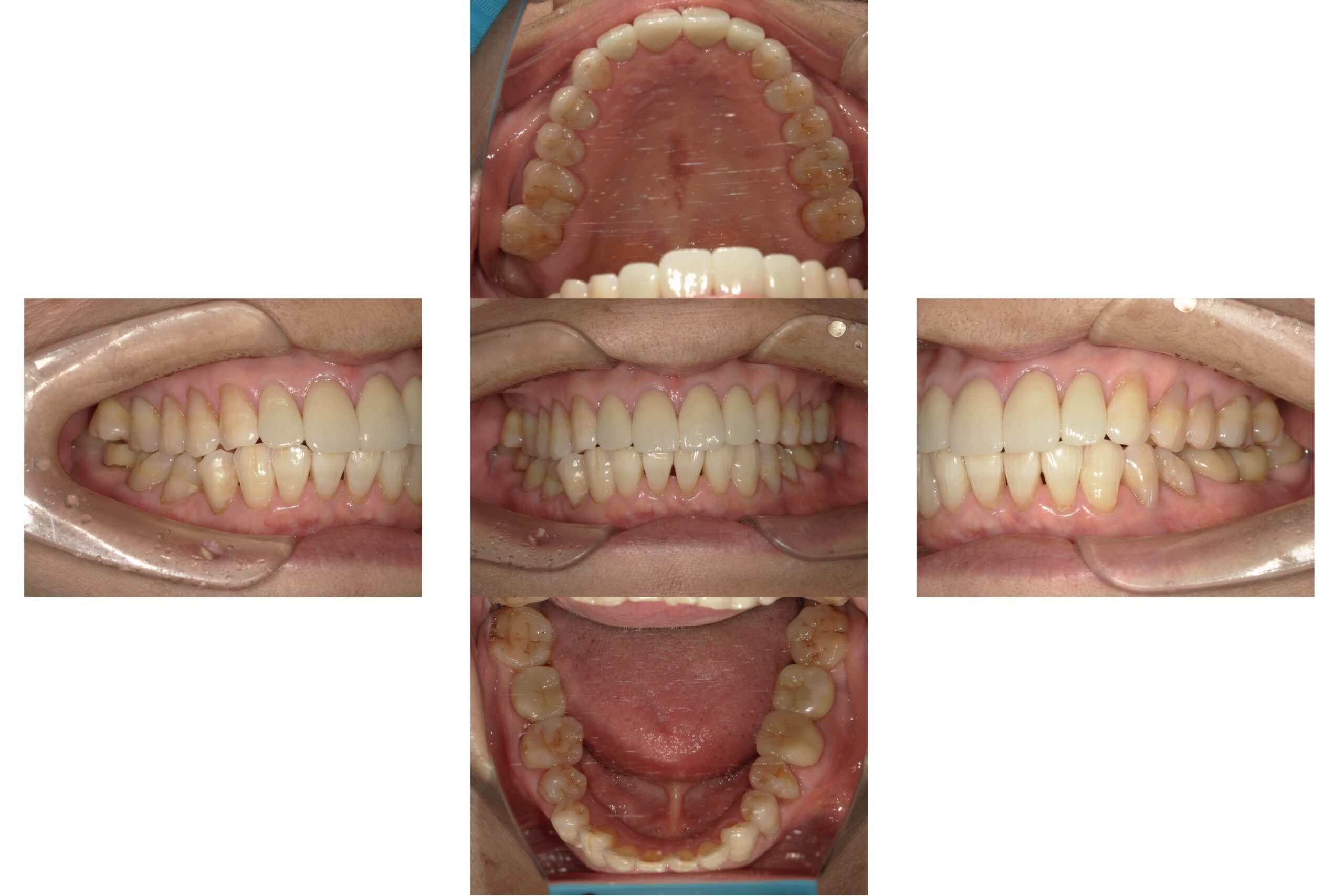
治療前

治療後

| 年齢 | 52歳 |
|---|---|
| 主訴 | 前歯でものが噛みきることが出来ない。 |
| 治療期間 | 約2年 |
| 治療費 | マウスピース型矯正装置 税込990,000円 |
| 概要 | 前歯でものを噛みきることが出来ず、年を取るにつれ奥歯が悪くなってきた気がするとのことでした。 ご相談させていただき、歯を抜かずにマウスピース矯正にて矯正治療を行わせていただきました。 |
| リスク | 患者様の装着時間によって移動量に個人差があります。 マウスピースの入れ始めは痛みを伴うことがあります。 歯の移動を可能にするための隙間を作るために歯を削る必要がある場合があります。 矯正治療中は治療過程で噛み合わせが不安定になり、顎関節症を引き起こす可能性があります。 重度なケースではマウスピース矯正治療が適応とならないケースがあります。 矯正治療後に後戻りを起こすことがあります。 |
治療期間は2年かかりましたが、見た目だけでなく前歯でしっかりものを噛めるようになり大変満足していただけました。
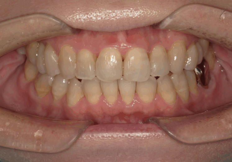
治療前

治療後

| 年齢 | 16歳 |
|---|---|
| 主訴 | 八重歯が気になる。 |
| 治療期間 | 1年 |
| 治療費 | 990,000円(保定装置含む) |
| 概要 | 八重歯が気になり人前であまり笑顔を見せれない。 唇が閉じにくいこともあり、口の中が乾燥していることがある。 |
| リスク | 患者様の装着時間によって移動量に個人差があります。 マウスピースの入れ始めは痛みを伴うことがあります。 歯の移動を可能にするための隙間を作るために歯を削る必要がある場合があります。 矯正治療中は治療過程で噛み合わせが不安定になり、顎関節症を引き起こす可能性があります。 重度なケースではマウスピース矯正治療が適応とならないケースがあります。 矯正治療後に後戻りを起こすことがあります。 |
矯正治療が終わり笑顔にも自信を持つことができ、噛み合わせも整ったことで審美的にも機能的にも満足されています。
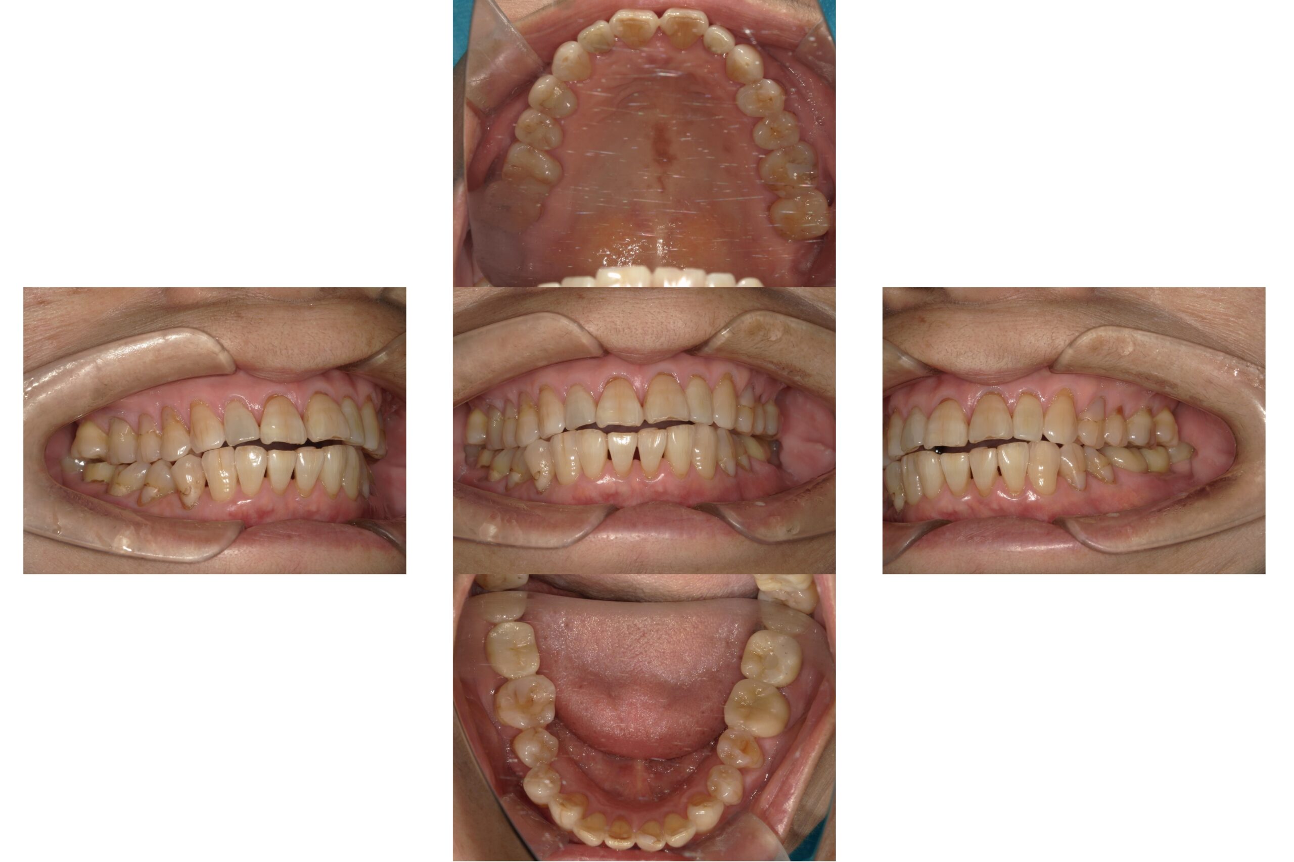
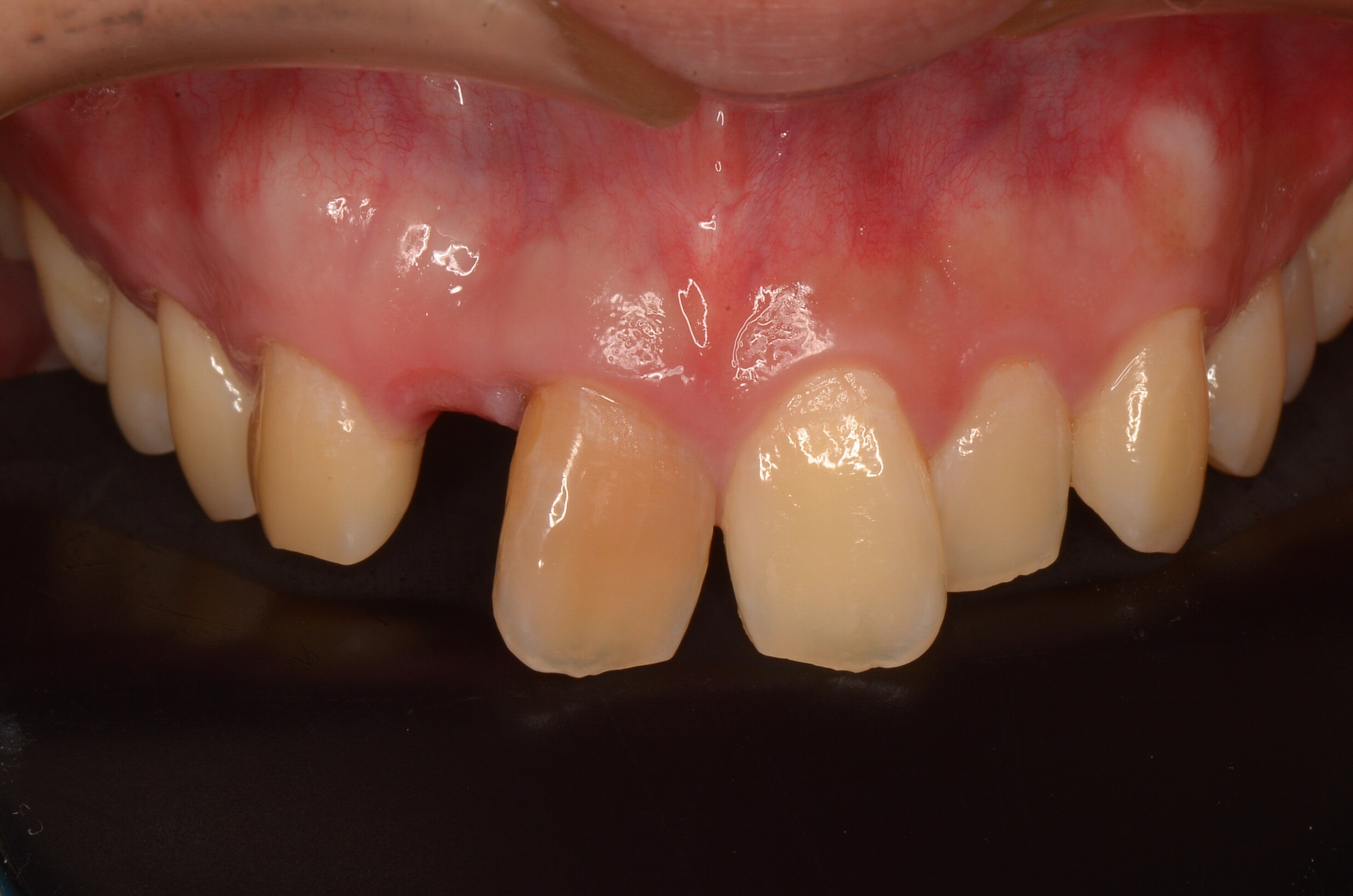
治療前

治療後

| 年齢 | 65歳 |
|---|---|
| 主訴 | 奥歯で硬いものが噛めない |
| 治療期間 | 約6ヶ月 |
| 治療費 | 約1,500,000円 |
| 概要 |
奥歯で固い食べ物が噛めず、年齢とともに噛み合わせや咀嚼機能の低下を実感されていました。 |
| リスク | 外科手術を伴うため、腫れや痛み、内出血が生じる場合があります。 骨量が不足している場合、骨造成(GBRやソケットリフト等)の追加処置が必要となることがあります。 インプラントが骨と結合しない場合、再手術や撤去が必要となることがあります。 メンテナンス不足や清掃不良により、インプラント周囲炎(歯周病のような症状)が起こる可能性があります。 喫煙・全身疾患・噛み合わせの状態により、治療結果に影響が出る場合があります。 長期的な安定のためには、定期的なメンテナンスとセルフケアが必須です。 |
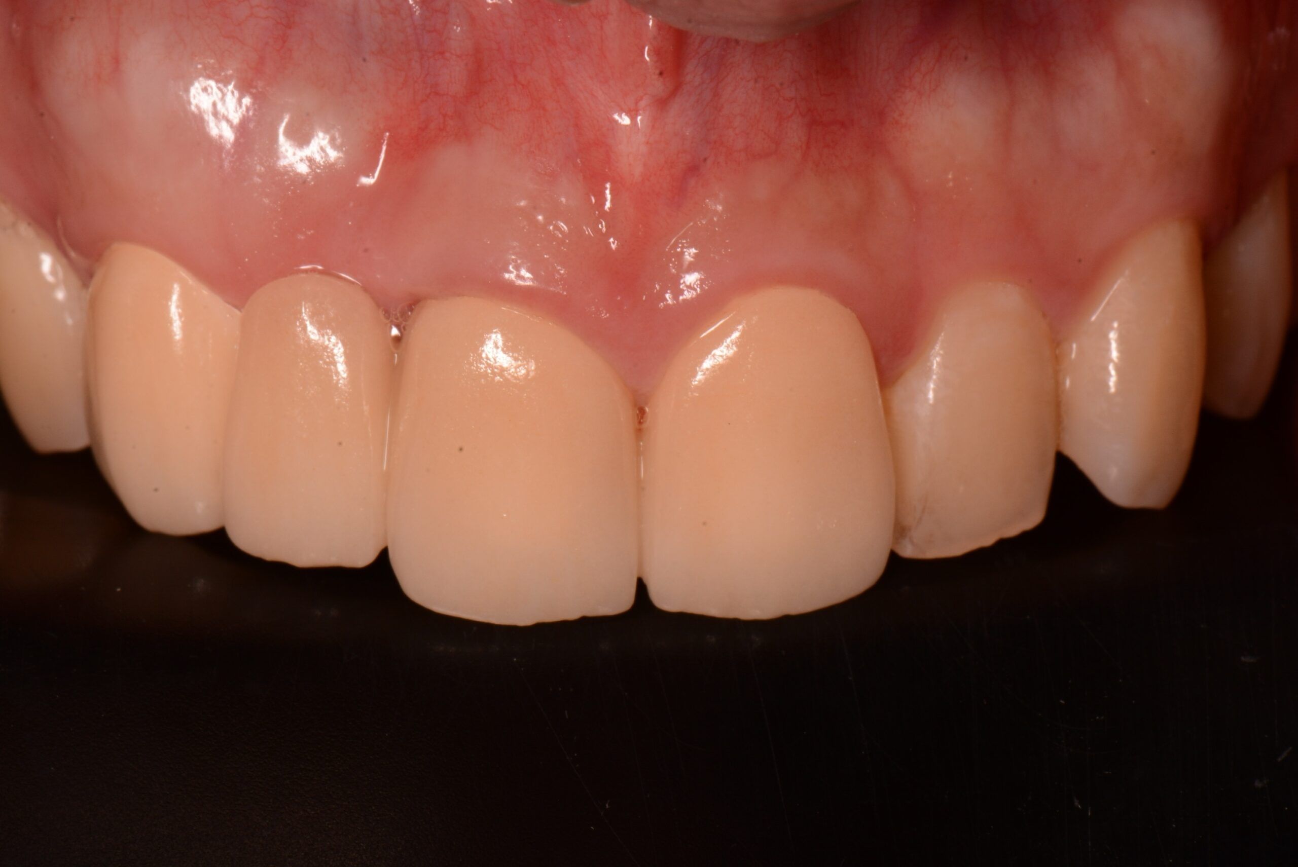
治療前

治療後

| 年齢 | 61歳 |
|---|---|
| 主訴 | 前歯でものが噛みきることが出来ない。歯の黄ばみも気になる |
| 治療期間 | 約2ヶ月 |
| 治療費 | 約750,000円 |
| 概要 |
前歯でものをしっかり噛みきれず、噛み合わせの改善に加えて、見た目の改善も希望されていました。また、歯の黄ばみが気になるとのことで、自然な白さと機能性を両立した治療をご希望されました。 |
| リスク | セラミック治療は削る量やかみ合わせの状態により歯がしみることがあります。 歯ぎしりや食いしばりが強い場合、破損のリスクがあるため、マウスピースが必要となる場合があります。 治療後の経年劣化により修復物の再製作が必要になる可能性があります。 かみ合わせの変化により、症状が改善するまで時間がかかることがあります。 メンテナンス不足によって、むし歯や歯周病のリスクが高くなる場合があります。 |
治療前

治療後

| 年齢 | 22歳 |
|---|---|
| 主訴 | 外傷で前歯が抜けた |
| 治療期間 | 約3ヶ月 |
| 治療費 | 約450,000円 |
| 概要 |
外傷により前歯を失い、「見た目が気になる」「前歯で噛むことができない」といった機能面・審美面のお悩みを抱え来院されました。診査・診断の結果、自然な見た目と噛む機能を回復させるため、セラミッククラウンによる補綴治療をご提案しました。セラミッククラウンは、天然歯に近い透明感や色味を再現でき、長期的な安定性が期待できる治療方法です。形態・色調は患者様と相談しながら丁寧に調整し、周囲の歯と違和感なく馴染むよう仕上げました。 |
| リスク |
補綴治療では歯を削る必要があり、治療後に一時的な知覚過敏が生じる場合があります。強い歯ぎしりや食いしばりがある場合、補綴物が欠けたり割れたりするリスクがあるため、ナイトガードの使用をお願いする場合があります。経年的なかみ合わせの変化や摩耗により、将来的に再製作が必要になることがあります。適切なブラッシングや定期検診が不足すると、補綴物周囲にむし歯や歯周病が発生するリスクが高まります。 |
TOP