2023年10月19日

歯医者の初診ってどんなことをするの?
こんにちは!いしみね歯科です🦷
初診の際どんな診察をするのかご不安な方多いと思います。
実際患者様からご質問いただいた内容からいしみね歯科の初診の流れをご紹介していきます!
予約は必要なの?

いしみね歯科は、ネット、お電話からの予約をして頂いてからのご来院をお勧めしています!
完全予約制ではないので、当日の予約や飛び込みの対応も可能ですが、
予約優先で、急なご予約は待ち時間がかなり出る可能性があります。
ゆっくり診てもらいたい、相談したいことがある・・・
そんな方々は事前にご予約いただくと、スムーズにご対応できます。
また、予約時間が空いていない際は診察お断りする際もございますのでご注意ください⚠️
治療費はどれぐらいかかるの?

当院では初診の際は必ずレントゲン撮影をし、目視では確認できない虫歯などもチェックします。
その金額が一番大きいと思います。
全部合わせて3割負担の方で4,000円から5,000円になります。
病院に通うお金って、ばかにならないですよね・・・
特に、何度も通院しなければならないと積み重ねで結構な出費になってしまいます。
なので、3ヶ月に1回ぐらいのペースで定期検診に通い虫歯治療で通わないでいいようにしたいですね😖
支払い方法は?
当院では保険診療の際はカードの使用はできません!
近年キャッシュレスで、現金を持たない方も増えましたが
保険診療は現金のみですのでご注意ください😦
実際の流れ
問診

まずは患者様自身のことをお話し聞かせていただきます!👂
今日は痛みがあるのか、痛みはなく健診、歯石取りなのかなど初めにお伺いします!
痛みがある際は優先的にそこのチェックをさせていただきます🙂
あとは、病歴や現在の薬の服用だったり、最後に歯科に行ったのはいつか?アレルギーはあるか?などお伺いいたします。
お薬手帳をお持ちの方はお忘れないよう、ご持参ください
レントゲン撮影

レントゲンは非常に大切な資料となります。
レントゲンでわかること
- 歯が何本生えているか
- 虫歯(目視でわからない虫歯までわかる)
- 治療歴
- 歯周病、歯肉炎
- 歯槽骨の位置
※歯槽骨・・・顎の骨の中にあり、歯の根が埋まっている部分
レントゲンを撮ることにより、早期虫歯発見が可能です!
顔貌・骨格・口腔内撮影
先ほどとは変わり、次は歯科専用のカメラでカラーの写真を撮影します!

①正面からお顔の撮影
→口元の突出感、筋肉の緊張具合、顎のズレ
②正面からスマイルの撮影
→上下の歯の正中位置の確認、左右対称か
③横顔
→エラスティックライン(Eライン・鼻の頭から顎の先を結んだ直線)
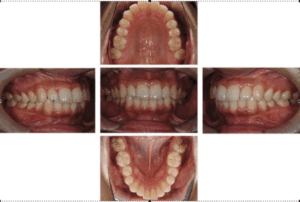
口腔内写真

これは、口腔内の疾患を診査診断するための資料となります。
この資料があると、治療部位の説明や口腔内の状態を記録し経年的な変化を観察できます。
歯周病検査

プローブという、メモリのついた針のような細い器具を
歯と歯茎の間(歯周ポケット)にツンツン入れて歯周ポケットが何ミリか測定します。
- 3ミリ以下なら正常値
- 4ミリ以上なら歯周病が進行している
次に、ピンセットを使って歯が揺れていないかを測定します。
0〜3までの数値で測り、数値が大きくなると歯が触れているということになります。
まとめ
ここまでが、いしみね歯科で必ず行う初診の流れです。
歯周検査のあとは、結果をご説明させていただき各患者様に合った治療をスタートしていきます。
当院では初診の際必ず院長・ドクターからのご説明、カウンセリングをさせていただきます。
詳しい歯の話をしたい方、歯科医師に治療の説明をしてほしい方などは
その際にお気軽にご相談ください。初診にかかるお時間はだいたい1時間ほどです。
✴︎時間に余裕がない場合は事前にスタッフまでお知らせください📢✴︎
