2023年10月16日

むし歯のメカニズム
こんにちは!いしみね歯科です🦷
みなさま、定期的に歯の健診してますか?
1年に1回健康診断に行くのと同じで歯の健診も定期的に行くのが理想です✨
歯はいろんな過程があってから、神経を抜いたり、歯を抜かないといけなくなったりするんです!
日々過ごしている中で、虫歯のサインを見逃さないようにしましょう🙂
歯の構造

まず、歯の構造について少しお話を・・・
私たちの歯は主に3つの組織から構造されいます。
エナメル質
歯の表面の一番外側部分を‘‘エナメル質’’と呼びます。
エナメル質の厚さは2〜3ミリ程度で、人間の組織の中で一番硬い組織なんです!
半透明で、酸に溶けやすい特徴があります。
象牙質
エナメル質の内側にある組織が”象牙質’’です。
象牙質は歯の大部分を占めていて、黄色みがかった色をしています。
個人差はありますが、象牙質の色がその人の基本的な歯の色調(歯の白さ)となります。
エナメル質より柔らかい組織なので、虫歯が象牙質まで到達すると、進行が早くなります。
歯髄(しずい)
神経線維や血管などが通っている組織のことです。
一般的には“神経’’と呼ばれ痛みを感じる部分になります。
象牙質への栄養補給、炎症など刺激に対する防御の役割もあります。
むし歯の原因

むし歯になる原因は、歯の表面についたプラーク(歯垢)の中に含まれる細菌です。
プラークは舌で触るとザラザラします。
このプラークが歯に付着している時間が長くなれば、虫歯のリスクもグングン上がってしまします・・・
食事をすると
→虫歯菌が、歯に残った食べ物の『糖分』を取り込む
→糖分を分解し『酸』を作り出す
→作り出された『酸』により、歯の成分が溶け始める
食べ物に含まれる、糖質(特に砂糖)は細菌が酸を作る材料に使われます。
歯の表面の”エナメル質’’は『酸』に弱いので、歯を守っているエナメル質が溶け始めると、
象牙質まで到達すると、一気に虫歯が進行します。
むし歯の段階

これが、虫歯の第一段階CO(シーオー)です。
歯医者で治療するまではないが要注意の歯になります。
お家では、フッ素の入った歯磨き粉で磨いていただくといったセルフケアが必要となります。
これを放っていると虫歯になってしまいます😖
自覚症状として、痛みは全くないが見た感じ少し白く濁っています。

これは、初期虫歯C1(シーワン)です。
細菌により、エナメル質が溶けてしまっています。
なんと、ここでも痛みもなく自覚症状が全然ない状態です。
見た目は、少し茶色くなっていて穴や溝ができてきます。
定期検診に通って頂いていれば、麻酔なしでここの段階で治療することができます😊
これは、本格的に進行し始めた虫歯C2(シーツー)です。
エナメル質から、象牙質にまで虫歯が進行した状態です・・・
ここから、痛みを感じたり冷たいものや甘いものがしみたりしてきます!
見た目も、誰でもわかるようなザ・虫歯!という、黒く穴が空いた状態になります。
歯医者では、虫歯部分を大きく削り白い樹脂で詰めていきます。
個人差はありますが、治療に麻酔が必要な方も出てきます。

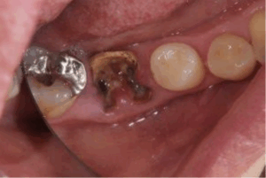
これは、神経まで到達してしまった虫歯C3(シースリー)です。
冷たいもの、温かいものまでもひどくしみて痛みます・・・
歯が欠けてしまったり、何もしなくてもズキズキ痛みます。
歯医者では、歯の神経を取る治療がスタートします。
こうなってしまうと、二度と自分の健康な歯は戻ってきません💧

ほとんど歯が残っていない虫歯C4(シーフォー)
歯がほとんど失われ、根っこの部分だけが残っている状態。
強い痛みがあったのに、急に痛まなくなった場合は
歯髄壊死といい、完全に組織か死んでしまって痛みを感じなくなります。
治療法は、残っている根っこを抜いて
→ブリッジ・入れ歯・インプラントの3つの選択肢になります。
歯の価値

今、医療が進歩し様々な治療方があり選択肢も多くなっています。
それに伴い治療にかかる費用も高額になっています。
歯の価値は1本104万円と歯科医師は言います。
全ての歯を28本だと過程すると2912万です😵
自分の歯を大切にする為にも、ぜひ歯の定期検診は通ってください!
詳しくは予防歯科・メインテナンスページへ
